In Oxford, the field of orthodontics has advanced significantly with the introduction of teeth straightening solutions using clear aligners, which offer a subtle and efficient alternative to traditional braces. These modern aligners provide a discreet option for those seeking to improve their smile's aesthetics without the visual impact of metal brackets and wires. The dental technology in Oxford utilizes sophisticated 3D imaging and customized treatment plans, ensuring precise and effective straightening with better outcomes. Orthodontists tailor each set of aligners to fit individual dental structures, facilitating not only a straighter smile but also contributing to enhanced oral health due to the ease of hygiene maintenance. The commitment to modern dental practices in Oxford is evident through the integration of clear aligners, which have become a favored and accessible option for both adults and teenagers. This innovative approach to teeth straightening with clear aligners from Oxford exemplifies the trend towards less invasive treatments that deliver aesthetic and functional improvements, significantly enhancing patients' confidence and quality of life. The personalized care and cutting-edge techniques available in Oxford position it as a leader in providing individualized dental solutions, making it a key destination for those interested in teeth straightening with clear aligners.
navigating the realm of dental health, this article delves into the meticulous process of creating custom-made dentures and partial dentures. It highlights the artistry and precision involved in crafting these oral solutions that offer both functionality and natural aesthetics. Furthermore, it explores the advancements in teeth straightening technology, particularly the innovative approach of clear aligners in Oxford, which have revolutionized the way patients achieve a perfect smile. The journey into personalized oral care culminates in a discussion on the benefits of bespoke denture solutions, ensuring each individual’s unique needs are met with unparalleled attention to detail and comfort.
- Exploring the Craftsmanship of Custom-Made Dentures and Partial Dentures
- The Advancements in Teeth Straightening with Clear Aligners in Oxford
- Personalized Oral Care: The Benefits of Bespoke Denture Solutions
Exploring the Craftsmanship of Custom-Made Dentures and Partial Dentures

Crafting custom-made dentures and partial dentures is a delicate blend of precision engineering, dental science, and artistry. The process begins with meticulous impressions and measurements of the patient’s oral cavity, ensuring that each prosthetic is tailored to fit with utmost precision. This bespoke approach not only enhances comfort but also facilitates better functionality, allowing for improved speech and eating. The materials selected for these dental appliances are of high quality, chosen for their durability, natural appearance, and biocompatibility. Technicians employ advanced techniques such as computer-aided design and computer-aided manufacturing (CAD/CAM) to design the dentures with precise accuracy, ensuring they blend seamlessly with the surrounding teeth.
Furthermore, the integration of clear aligners into the treatment plan is a testament to the clinic’s commitment to modern dental solutions. Teeth straightening with clear aligners from Oxford offers a discreet and efficient alternative for those seeking orthodontic correction without the conspicuousness of traditional braces. This innovative approach to teeth alignment complements the custom-made denture service, providing patients with comprehensive dental care that caters to both aesthetic and functional needs. The combination of these cutting-edge techniques and personalized care ensures that each patient receives a unique solution tailored to their specific requirements, achieving a confident smile and restored oral function.
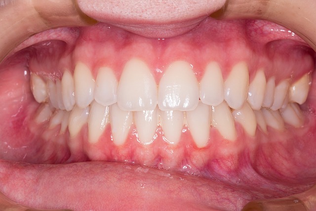
The Advancements in Teeth Straightening with Clear Aligners in Oxford

In Oxford, the field of orthodontics has witnessed remarkable advancements in teeth straightening, particularly with the advent of clear aligners. These innovative devices have revolutionized the way individuals approach dental aesthetics and oral health. Clear aligners offer a discreet, removable alternative to traditional braces, providing patients with a virtually invisible option that fits seamlessly into their daily lives. The technology behind clear aligners in Oxford has significantly improved over the years, ensuring a more precise treatment process and better outcomes. Orthodontists in the area leverage advanced 3D imaging and customized treatment plans to craft aligners that are tailored to each patient’s unique dental structure, promoting efficient and comfortable straightening of teeth. This personalized approach not only enhances the aesthetic appeal of a smile but also improves overall oral health by facilitating easier cleaning and maintenance around the teeth and gums during treatment.
The success of clear aligners in Oxford is underpinned by the commitment of local dental professionals to staying at the forefront of orthodontic technology. These practitioners are well-versed in the latest techniques and materials, ensuring that patients receive treatments that are not only effective but also as unobtrusive as possible. The alignment process, guided by regular check-ups and periodic adjustments, is monitored closely to ensure progress and comfort. As a result, teeth straightening with clear aligners has become a popular choice among Oxford residents seeking a subtle path to a beautiful smile, with the added benefits of improved dental health and increased self-confidence. The integration of clear aligners into everyday life represents a significant step forward in the realm of cosmetic dentistry, making it an accessible and effective solution for adults and teenagers alike.
Personalized Oral Care: The Benefits of Bespoke Denture Solutions

Advancements in dental technology have paved the way for personalized oral care solutions that cater to the unique needs and preferences of individuals seeking to restore their smiles. Bespoke denture solutions, particularly those involving teeth straightening with clear aligners from Oxford, offer a myriad of benefits over traditional dental prosthetics. These custom-made dentures are crafted using precise impressions and measurements of an individual’s oral cavity, ensuring a snug, comfortable fit that functions much like natural teeth. The precision of these tailor-made solutions leads to better function and comfort, allowing wearers to eat, speak, and smile with confidence.
Moreover, the use of clear aligners in Oxford for teeth straightening is a testament to the shift towards less invasive and more aesthetically pleasing alternatives. Unlike conventional braces, clear aligners are nearly invisible, making them an attractive option for those who prefer a subtle approach to dental realignment. The customizable nature of these aligners means that each stage of treatment can be fine-tuned to gradually shift teeth into their optimal position, resulting in a straighter smile that complements the individual’s facial structure and overall appearance. This not only enhances the visual aspect of the denture but also contributes to better oral health by facilitating easier cleaning and maintenance compared to traditional dentures. With bespoke solutions, patients experience improved dental hygiene, comfort, and satisfaction with their new set of teeth, which can significantly improve their quality of life.
In conclusion, the field of dentistry, particularly in Oxford, has witnessed significant advancements, most notably in teeth straightening using clear aligners. The craftsmanship behind custom-made and partial dentures continues to impress, offering patients personalized oral care solutions that enhance both functionality and aesthetics. These bespoke denture options ensure a comfortable and precise fit, improving overall dental health and quality of life. With the ongoing evolution in dental technologies and materials, individuals can now enjoy tailored treatments that cater specifically to their unique needs. As such, the future of dental healthcare looks promising, with Oxford standing at the forefront of these innovations, providing exceptional teeth straightening solutions alongside its bespoke denture services.